Mengenal ADHD dan Dampaknya pada Kesehatan Gigi dan Mulut Anak
Penulis
Dr. drg. Renie Kumala Dewi, Sp.KGA
Terbit
21 April 2026

Mengenal ADHD dan Dampaknya pada Kesehatan Gigi dan Mulut Anak
Anak berkebutuhan khusus (ABK) merupakan anak yang memiliki keterbatasan mental, fisik, dan emosi yang berbeda dengan anak pada umumnya. ABK mengalami gangguan dalam perkembangan, baik dari segi fisik maupun mental, serta memerlukan pelayanan yang spesifik. Berbeda dengan anak pada umumnya, mereka mengalami hambatan dalam belajar dan perkembangan, baik permanen maupun temporer, yang disebabkan oleh genetik, biologis, lingkungan, dan faktor risiko psikososial. ABK memiliki karakteristik yang berbeda-beda berdasarkan kelainan yang mereka miliki. Salah satunya adalah anak dengan ADHD (Attention Deficit Hyperactivity Disorder).
ADHD adalah kondisi neurobiologis yang dicirikan dengan gangguan perkembangan saraf yang ditandai oleh pola tidak perhatian, hiperaktivitas, dan/atau impulsivitas yang tidak sesuai dengan tingkat perkembangan anak sehingga dapat memengaruhi kehidupan sehari-hari, termasuk hubungan interpersonal, pembelajaran di sekolah, maupun kegiatan di rumah, salah satunya dalam menjaga kesehatan gigi dan mulutnya. Prevalensi karies yang lebih tinggi disebabkan oleh praktik kebersihan mulut yang buruk karena anak-anak ini pelupa dan tidak dapat menyikat gigi secara efektif.
Gejala muncul sebelum usia 12 tahun dan menimbulkan gangguan fungsi di lebih dari satu konteks (rumah, sekolah, sosial). Dibandingkan dengan anak pada umumnya, anak ADHD biasanya lebih mudah cemas dan rendah diri. Beberapa faktor lingkungan yang menjadi predisposisi ADHD adalah pola asuh yang kurang optimal atau tidak konsisten, cedera otak atau infeksi, berat badan saat lahir rendah atau kelahiran prematur, ibu perokok, penyalahgunaan alkohol atau obat-obatan, dan racun di lingkungan seperti timbal, pestisida, merkuri, dan mangan.
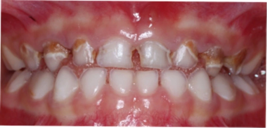
Lalloo menyimpulkan bahwa anak hiperaktif dua kali lebih mungkin mengalami cedera pada wajah dan/atau gigi dibandingkan dengan kelompok kontrol berdasarkan data dari Survei Kesehatan Inggris tahun 1997. Hal ini dapat dikaitkan dengan keterlibatan mereka dalam kekerasan akibat gangguan perilaku. Mereka memiliki indeks plak yang tinggi dan aliran saliva yang rendah, sehingga menyebabkan gigi cepat mengalami karies (berlubang). Menggigit kuku dan bruksism adalah kebiasaan umum yang terlihat. Mereka juga lebih mungkin menderita kekerasan fisik dari orang tua yang belum memahami ADHD daripada dari anak pada umumnya.
Kondisi Rongga Mulut pada Anak dengan ADHD memiliki risiko lebih tinggi terhadap beberapa masalah rongga mulut akibat faktor perilaku, obat-obatan, dan kepatuhan perawatan:
- Karies gigi: Kebiasaan makan tidak teratur, konsumsi makanan manis/snacking, kurangnya rutinitas kebersihan mulut, dan pengawasan oral yang kurang sehingga meningkatkan risiko karies (gigi berlubang).
- Plak dan gingivitis: Sikat gigi yang tidak efektif dan frekuensi pembersihan yang rendah menyebabkan akumulasi plak dan peradangan gusi.
- Xerostomia (mulut kering): Obat stimulan (mis. metilfenidat, amfetamin) dapat menurunkan produksi saliva sehingga meningkatkan risiko karies dan ketidaknyamanan rongga mulut.
- Trauma gigi: Hiperaktivitas dan impulsivitas meningkatkan risiko jatuh/cedera pada gigi dan jaringan lunak sehingga dapat menyebabkan gigi patah, goyang ataupun terlepas dari soket (gusi).
- Bruxism dan kebiasaan orofasial: Stres, kecemasan, atau impulsivitas dapat menyebabkan gigitan tidak teratur (gigi digesek-gesekkan atau seperti menguyah ketika sedang tertidur).
- Masalah ortodontik dan maloklusi: Kebiasaan seperti menggigit barang, thumbsucking (menghisap jempol/jari), serta ketidakteraturan kebiasaan oral dapat memengaruhi perkembangan gigi dan rahang.
Memberikan perawatan gigi untuk anak dengan ADHD memerlukan kesabaran ekstra dan pendekatan medis yang tepat. Di Renie Dent, kami memahami kebutuhan khusus buah hati Anda dan berkomitmen menyediakan lingkungan yang aman, tenang, dan inklusif bagi anak berkebutuhan khusus (ABK).
Dengan pengalaman bertahun-tahun dalam menangani pasien cilik, Dr. drg. Renie Kumala Dewi, Sp.KGA menggunakan metode yang dirancang untuk mengurangi kecemasan anak, sehingga pemeriksaan gigi menjadi pengalaman yang positif dan minim stres.
Wujudkan senyum sehat dan rasa percaya diri buah hati Anda bersama kami.
Renie Dent – Dokter Gigi Anak & Keluarga Banjarmasin
https://www.reniedent.id/