Kebiasaan Mulut pada Anak: Apakah Normal atau Tidak Normal?
Penulis
Dr. drg. Renie Kumala Dewi, Sp.KGA
Terbit
3 April 2026

Kebiasaan Mulut pada Anak, Apakah Normal atau Tidak Normal?
Kebiasaan adalah suatu tindakan berulang yang dilakukan secara otomatis atau spontan. Perilaku ini umumnya terjadi pada masa anak-anak dan sebagian besar berhenti secara spontan.
Kebiasaan mulut (oral habit) merupakan tindakan berulang di area mulut yang dilakukan secara sadar maupun tidak sadar, yang jika dibiarkan dalam jangka panjang dapat menjadi kebiasaan buruk rongga mulut (oral bad habit) yang dapat menyebabkan perubahan struktur gigi, rahang, dan wajah, dalam istilah medis dikenal sebagai maloklusi.
Berikut adalah beberapa jenis oral habit yang paling umum ditemui:
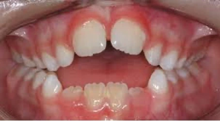
1. Menghisap Jari (Thumb Sucking)
Kebiasaan yang sering dilakukan anak-anak. Jika berlanjut hingga gigi permanen tumbuh, bisa menyebabkan gigi depan maju (tonggos/protrusi) maupun gigitan terbuka (open bite). Pada jari yang dihisap akan muncul lesi keratik.
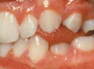
2. Bernapas Melalui Mulut (Mouth Breathing)
Sering disebabkan oleh sumbatan jalan napas (seperti amandel atau alergi). Hal ini dapat menyebabkan wajah tampak panjang dan sempit atau yang dikenal dengan adenoid face.
Pada rongga mulut anak yang bernapas melalui mulut tampak:
- Gigi depan terbuka (open bite)
- Rahang menyempit
- Gigi depan maju (tonggos/protrusi)
3. Mendorong Lidah (Tongue Thrusting)
Menekan lidah ke gigi depan atau gigi geraham saat menelan atau bicara, yang mengakibatkan:
- Gigi merenggang
- Gigi maju ke depan (tonggos/protrusi)
- Gigitan terbuka (open bite)
4. Menggigit Bibir (Lip Biting)
Kebiasaan menggigit bibir dapat melibatkan salah satu bibir, dengan dominasi lebih sering pada bibir bawah. Jika dilakukan terus-menerus dapat menyebabkan:
- Gigi depan maju (protrusi)
- Gigi depan bawah mundur (retrusi)
- Terbentuk celah pada bibir
5. Menggigit Kuku atau Benda (Nail/Object Biting)
Dapat menyebabkan:
- Kerusakan enamel gigi
- Pergeseran posisi gigi secara perlahan
- Keratin atau callus di sekitar kuku
6. Bruxism (Menggemertakkan Gigi)
Kebiasaan menggesekkan gigi atas dan bawah, biasanya saat tidur, yang dapat menyebabkan:
- Nyeri rahang
- Abrasi gigi (aus)
Kapan Kebiasaan Ini Berbahaya?
Suatu kebiasaan dianggap berbahaya ketika mengganggu fungsi:
- Fisik
- Emosional
- Sosial anak
Tingkat keparahan tergantung pada:
Frekuensi
Seberapa sering kebiasaan dilakukan (jumlah per hari)Intensitas
Seberapa kuat kebiasaan dilakukanDurasi
Berapa lama kebiasaan berlangsung (hari/minggu/bulan/tahun)
Penanganan
Penanganan dilakukan dengan menghilangkan kebiasaan buruk rongga mulut (oral bad habit) terlebih dahulu agar perawatan orthodontik dapat berjalan maksimal.
Segera konsultasikan masalah kebiasaan mulut anak Anda kepada dokter gigi terpercaya.
Untuk konsultasi dan pemeriksaan gigi anak di Banjarmasin, orang tua dapat mengunjungi:
Renie Dent – Dokter Gigi Anak & Keluarga Banjarmasin
https://www.reniedent.id/